Gilbert Dental Implants Dental Implants
Need a dentist you can trust? You've found the right place! We specialize in dental implants that can really change your life. We personally take care of each patient as individuals. That means you get the special attention you deserve. Want to know what it'll cost? Just fill out the form below and we'll send you all the info right away. You'll see our current prices and payment plans that work with your budget. When you come in to meet with us, we'll give you the full cost for your treatment. Been to another dentist already? No problem! We're happy to give you a second opinion. We'll even match what other dentists are charging. Scared of the dentist? That's totally normal, and we get it. We can help you relax with special sedation if you need it. You can actually be comfortable the whole time you're here. Our job is to make this easy for you while giving you the smile you've always wanted.
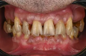
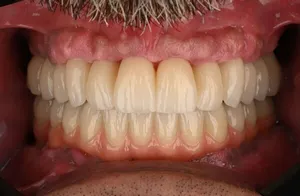
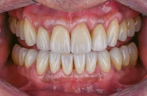
Before and After Photos
Check out these amazing smile makeovers! Gilbert Dental Implants has helped patients get the teeth they've always dreamed of. These are real people just like you who decided to get dental implants. Look at how much their smiles have changed!
Dental Implant Services
Not all services are available at all locations. Each situation is different, so a consultation is required to create a custom dental plan.
Single Implant
Perfect for replacing a single missing tooth with a natural-looking and permanent solution that functions just like your natural teeth.
Same Day Implants
Get your dental implants placed and temporary teeth attached in just one visit. Walk out with a brand new smile the same day!
Porcelain Veneers
Ultra-thin porcelain shells that cover the front surface of your teeth to create a perfect, Hollywood-worthy smile.
Implant Supported Dentures
Dentures that snap securely onto dental implants, providing superior stability and comfort compared to traditional dentures.
All-On-4 / All-On-X
Replace an entire arch of teeth with just 4-6 strategically placed implants. A complete, fixed smile restoration solution.
Full Zirconia Bridge
A durable, metal-free restoration that replaces multiple missing teeth with beautiful, natural-looking zirconia material that's built to last.
ABOUT US
We Care About Your Dental Health
The Gilbert Dental Implants dentist sees every single patient himself. He really takes his time to learn what you're worried about and what you want for your smile. When you come in, you'll get a complete checkup. Then we will sit down with you and go over all your options.
We've been helping people for years. Patients love us so much that we have a perfect five star rating on Google! We're committed to providing personalized care with the latest technology and techniques in dental implantology.
Dental Implants: Restore Your Smile and Confidence
Dental implants are a long-lasting and effective solution for replacing missing or damaged teeth, providing aesthetic and functional benefits. Unlike traditional dentures or bridges, dental implants are surgically anchored into the jawbone, ensuring a secure and natural fit that mimics the look and feel of your natural teeth.
Our dental implant centers offer a range of implant options tailored to each patient's unique needs and oral health goals. Whether you need a single tooth replacement or a complete smile makeover, we provide personalized treatment plans designed to restore your confidence and improve your quality of life.
With advanced technology and experienced professionals, we make the dental implant process as comfortable and efficient as possible. From the initial consultation to the final restoration, we're with you every step of the way to ensure the best possible outcome.
Ready to Transform Your Smile?
Take the first step towards a confident, beautiful smile. Schedule your consultation today and discover how dental implants can change your life.